The Opioid Crisis Is About More Than Corporate Greed

91535627d410f4a3c57e02df07df5ddc9f351a58

’What the opioid crisis illustrates is not that there are a few bad apples in the pharmaceutical industry, but that the country’s entire health care system is driven by profit at the expense of public health and safety. Drug manufacturers, pharmacy chains, drug distributors, and insurance companies got rich while people, especially people lower down the income ladder, suffered—and the DEA, through neglect or incompetence or a mix of both, watched it all happen.…’

Via The New Republic

Posted in Uncategorized

Meet the classified artificial brain being developed by US intelligence programs

UnknownIt’s Sentient:

’A product of the National Reconnaissance Office (NRO), Sentient is (or at least aims to be) an omnivorous analysis tool, capable of devouring data of all sorts, making sense of the past and present, anticipating the future, and pointing satellites toward what it determines will be the most interesting parts of that future. That, ideally, makes things simpler downstream for human analysts at other organizations, like the NGA, with which the satellite-centric NRO partners.

Until now, Sentient has been treated as a government secret, except for vague allusions in a few speeches and presentations. But recently released documents — many formerly classified secret or top secret — reveal new details about the program’s goals, progress, and reach.…’

Via The Verge

Posted in Uncategorized

We don’t need 23 presidential candidates. There’s another important role to fill.

7LCKZ3ULX4I6TD3JUJ4V7SRTIMEugene Robinson:

’Dear Democratic presidential candidates: I know all 23 of you want to run against President Trump, but only one will get that opportunity. If you truly believe your own righteous rhetoric, some of you ought to be spending your time and energy in another vital pursuit — winning control of the Senate.

I’m talking to you, John Hickenlooper of Colorado, who would have a good chance of beating incumbent Republican Cory Gardner. I’m talking to you, Gov. Steve Bullock of Montana, who could knock off GOP incumbent Steve Daines. I’m even talking to you, Beto O’Rourke, who would have a better chance than any other Texas Democrat against veteran Republican John Cornyn.

And I’m talking to you, too, Stacey Abrams of Georgia, even though you haven’t jumped in. You came within a whisker of being elected governor, and you have a national profile that would bring in a tsunami of campaign funds. You could beat Republican David Perdue — and acquire real power to translate your stirring eloquence into concrete action.

As the Republican Party has long understood, it’s all about power. Senate Majority Leader Mitch McConnell (R-Ky.) could not care less about lofty words and high ideals. Coldly and methodically, he has used his power to block widely supported progressive measures such as gun control, to enact a trickle-down economic agenda that favors the wealthy and to pack the federal bench with right-wing judges whom we’ll be stuck with for decades.

We all remember how McConnell refused even to schedule hearings for President Barack Obama’s final Supreme Court nominee, Judge Merrick Garland, ostensibly because the vacancy occurred during an election year. Were you surprised when he said recently that if a seat were to come open in 2020, he would hasten to confirm a replacement? I wasn’t. That’s how McConnell rolls. He exercises his power to its full extent and is not bothered by what you or I or anyone else might think. Charges of hypocrisy do not trouble his sweet slumber.

McConnell is not going to be reasoned, harangued or shamed into behaving differently. The only way to stop him is to take his power away, and the only way to do that is for Democrats to win the Senate.…’

Via The Washington Post

Posted in Uncategorized

“Have We No Decency?”: National Cathedral questions American’s silence over Trump’s racism

GettyImages 1074741120 0“Words matter. And Mr. Trump’s words are dangerous.”:

’In a scorching letter condemning President Donald Trump’s recent racist attacks, the Washington National Cathedral questioned all those who continued to remain silent.

On Tuesday, the capital’s Episcopal cathedral released a letter titled “Have We No Decency? A response to President Trump,” which was signed by the church’s top leadership.…’

Via Vox

Posted in Uncategorized

Ronald Reagan’s Long-Hidden Racist Conversation With Richard Nixon

Lead 720 405Tim Naftali, Clinical associate professor of history at NYU:

’The past month has brought presidential racism back into the headlines. This October 1971 exchange between current and future presidents is a reminder that other presidents have subscribed to the racist belief that Africans or African Americans are somehow inferior. The most novel aspect of President Donald Trump’s racist gibes isn’t that he said them, but that he said them in public.

The day after the United Nations voted to recognize the People’s Republic of China, then–California Governor Ronald Reagan phoned President Richard Nixon at the White House and vented his frustration at the delegates who had sided against the United States. “Last night, I tell you, to watch that thing on television as I did,” Reagan said. “Yeah,” Nixon interjected. Reagan forged ahead with his complaint: “To see those, those monkeys from those African countries—damn them, they’re still uncomfortable wearing shoes!” Nixon gave a huge laugh.…’

Via The Atlantic

“I Played Trump in Hillary Clinton’s 2016 Debate Prep. Here’s What It Takes to Beat Him.”

UnknownPhilippe Reines, former Deputy Assistant Secretary of State, Senior Advisor to Hillary Clinton, and co-host of the “UNREDACTED” podcast on the dsr Network:

’The bottom line is that watching a candidate share a debate stage with nine others might be one of the most important ways of deciding whom you like the most, but less useful in determining who is best to debate Trump.

If that were our sole criterion, we should skip the thoughtful policy discussions and instead require each candidate to debate a 10-year-old boy who responds to everything with, “I know you are, but what am I?”

We’ve all had to. That kid is obnoxious. Juvenile. Insufferable. Detestable. Smackworthy. Most of all, the very definition of predictable.

But that kid is hard to beat.…’

Via POLITICO Magazine

Posted in Uncategorized

The Rot You Smell Is a Racist Potus

UnknownCharles Blow writes in The New York Times:

’It seems maddeningly repetitive to have to return time and again to the fact that Donald Trump is a racist, but it must be done. It must be done because it is a foundational character issue, one that supersedes and informs many others, in much the same way that his sexism and xenophobia do.

On Saturday, Trump tweeted that Representative Elijah Cummings’s district “is a disgusting, rat and rodent infested mess,” a “very dangerous & filthy place” and “No human being would want to live there.” Cummings is black, as are most people in his district.

This talk of infestation is telling, because he only seems to apply it to issues concerning black and brown people. He has sniped about the “Ebola infested areas of Africa.” He has called Congressman John Lewis’s Atlanta district “crime infested” as well as telling him to focus on “the burning and crime infested inner-cities of the U.S.” He has called sanctuary cities a “crime infested & breeding concept.” He has talked about how “illegal immigrants” will “pour into and infest our Country.” He has called the presence of the MS–13 gang members “in certain parts of our country” an “infestation.”

None of this is about crime as a discrete phenomenon, but rather about inextricably linking criminality to blackness. White supremacy isn’t necessarily about rendering white people as superhuman; it is just as often about rendering nonwhite people as subhuman. Either way the hierarchy is established, with whiteness assuming the superior position.
A survey of Trump’s tweets reveals that his attachment of criminality to populations is almost exclusively to black and brown people and to “inner cities,” an urban euphemism for black and brown neighborhoods.…’

Via The New York Times

Posted in Uncategorized

Why did Trump make the “white power” hand signal when he mentioned AOC at the Young Conservatives DC summit?

Screen Shot 2019 07 25 at 10 44 48 AM’Here we see President Trump making the “white power” hand signal while uttering AOC’s name during his speech at Young Conservatives DC summit. It’s the same hand signal that Australian white supremacist Brenton Tarrant flashed in the courtroom after he’d been arrested for murdering 50 people in New Zealand mosques.

From the ADL:

In 2017, the “okay” hand gesture acquired a new and different significance thanks to a hoax by members of the website 4chan to falsely promote the gesture as a hate symbol, claiming that the gesture represented the letters “wp,” for “white power.” The “okay” gesture hoax was merely the latest in a series of similar 4chan hoaxes using various innocuous symbols; in each case, the hoaxers hoped that the media and liberals would overreact by condemning a common image as white supremacist.

In the case of the “okay” gesture, the hoax was so successful the symbol became a popular trolling tactic on the part of right-leaning individuals, who would often post photos to social media of themselves posing while making the “okay” gesture.

Ironically, some white supremacists themselves soon also participated in such trolling tactics, lending an actual credence to those who labeled the trolling gesture as racist in nature. By 2019, at least some white supremacists seem to have abandoned the ironic or satiric intent behind the original trolling campaign and used the symbol as a sincere expression of white supremacy, such as when Australian white supremacist Brenton Tarrant flashed the symbol during a March 2019 courtroom appearance soon after his arrest for allegedly murdering 50 people in a shooting spree at mosques in Christchurch, New Zealand.…’

Via Boing Boing

Posted in Uncategorized

The Science Behind “Blade Runner”’s Voight-Kampff Test

13366 4643dd49216b67d9c617ceb260e45684’Rutger Hauer, the Dutch actor who portrayed Roy Batty in the film Blade Runner, passed away recently. To celebrate his iconic role, we are revisiting this piece on the Voight-Kampff test, a device to detect if a person is really human.

Is Rick Deckard a replicant, an advanced bioengineered being? The jury concerning the character in 1982’s Blade Runner is still out. Harrison Ford, who plays Deckard in the film, thinks he’s human. Ridley Scott, the film’s director, is adamant that he’s not.* Hampton Fancher, the screenwriter for the original film and the sequel, Blade Runner 2049, out today, prefers the ambiguity: “I like asking the question,” he’s said, “but I think it’s nonsense to answer it.”

At the center of the question is a fictional test designed to distinguish between replicants and humans, called the Voight-Kampff test. It elicits emotions in the test subject that replicants supposedly can’t have, then monitors physiological responses, like pupillary motion and reaction time. But could such a test really distinguish between humans and replicants? Nautilus caught up with Chris Frith, Emeritus Professor of the Wellcome Centre for Neuroimaging at University College London to find out. He’s spent his career studying the neuroscience of consciousness and emotion, specifically its conscious and unconscious processes, and says he’s been influenced by Philip K. Dick’s stories, particularly Do Androids Dream of Electric Sheep?, which Blade Runner is based on.…’

Via Nautilus

Posted in Uncategorized

To the Censorious Ones by Anne Waldman

(Jesse Helms & others…)

I’m coming up out of the tomb, Men of War

Just when you thought you had me down, in place, hidden

I’m coming up now

Can you feel the ground rumble under your feet?

It’s breaking apart, it’s turning over, it’s pushing up

It’s thrusting into your point of view, your private property

O Men of War, Censorious Ones!

get ready big boys get ready

I’m coming up now

I’m coming up with all that was hidden

Get ready, Big Boys, get ready

I’m coming up with all you wanted buried,

All the hermetic texts with stories in them of hot & dangerous women

Women with lascivious tongues, sharp eyes & claws

I’ve been working out, my muscles are strong

I’m pushing up the earth with all you try to censor

All the iconoclasm & bravado you scorn

All the taunts against your banner & salute

I’m coming up from Hell with all you ever suppressed

All the dark fantasies, all the dregs are coming back

I’m leading them back up now

They’re going to bark & scoff & rage & bite

I’m opening the box

boo!

Via Poetry Foundation

Posted in Uncategorized

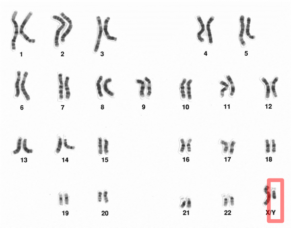
What happens to men if the Y chromosome disappears?

File 20180115 101502 1tinnv3’The Y chromosome may be a symbol of masculinity, but it is becoming increasingly clear that it is anything but strong and enduring.

Although it carries the “master switch” gene, SRY, that determines whether an embryo will develop as male (XY) or female (XX), it contains very few other genes and is the only chromosome not necessary for life. Women, after all, manage just fine without one.

What’s more, the Y chromosome has degenerated rapidly, leaving females with two perfectly normal X chromosomes, but males with an X and a shrivelled Y. If the same rate of degeneration continues, the Y chromosome has just 4.6m years left before it disappears completely. This may sound like a long time, but it isn’t when you consider that life has existed on Earth for 3.5 billion years.

The Y chromosome hasn’t always been like this. If we rewind the clock to 166m years ago, to the very first mammals, the story was completely different. The early “proto-Y” chromosome was originally the same size as the X chromosome and contained all the same genes. However, Y chromosomes have a fundamental flaw. Unlike all other chromosomes, which we have two copies of in each of our cells, Y chromosomes are only ever present as a single copy, passed from fathers to their sons.

This means that genes on the Y chromosome cannot undergo genetic recombination, the “shuffling” of genes that occurs in each generation which helps to eliminate damaging gene mutations. Deprived of the benefits of recombination, Y chromosomal genes degenerate over time and are eventually lost from the genome.

Despite this, recent research has shown that the Y chromosome has developed some pretty convincing mechanisms to “put the brakes on”, slowing the rate of gene loss to a possible standstill.

For example, a recent Danish study, published in PLoS Genetics, sequenced portions of the Y chromosome from 62 different men and found that it is prone to large scale structural rearrangements allowing “gene amplification” – the acquisition of multiple copies of genes that promote healthy sperm function and mitigate gene loss.

The study also showed that the Y chromosome has developed unusual structures called “palindromes“ (DNA sequences that read the same forwards as backwards – like the word “kayak”), which protect it from further degradation. They recorded a high rate of “gene conversion events“ within the palindromic sequences on the Y chromosome – this is basically a “copy and paste” process that allows damaged genes to be repaired using an undamaged back-up copy as a template.

Looking to other species (Y chromosomes exist in mammals and some other species), a growing body of evidence indicates that Y-chromosome gene amplification is a general principle across the board. These amplified genes play critical roles in sperm production and (at least in rodents) in regulating offspring sex ratio. Writing in Molecular Biology and Evolution recently, researchers give evidence that this increase in gene copy number in mice is a result of natural selection.

On the question of whether the Y chromosome will actually disappear, the scientific community, like the UK at the moment, is currently divided into the “leavers” and the “remainers”. The latter group argues that its defence mechanisms do a great job and have rescued the Y chromosome. But the leavers say that all they are doing is allowing the Y chromosome to cling on by its fingernails, before eventually dropping off the cliff. The debate therefore continues.

A leading proponent of the leave argument, Jenny Graves from La Trobe University in Australia, claims that, if you take a long-term perspective, the Y chromosomes are inevitably doomed – even if they sometimes hold on a bit longer than expected. In a 2016 paper, she points out that Japanese spiny rats and mole voles have lost their Y chromosomes entirely – and argues that the processes of genes being lost or created on the Y chromosome inevitably lead to fertility problems. This in turn can ultimately drive the formation of entirely new species.

As we argue in a chapter in a new e-book, even if the Y chromosome in humans does disappear, it does not necessarily mean that males themselves are on their way out. Even in the species that have actually lost their Y chromosomes completely, males and females are both still necessary for reproduction.

In these cases, the SRY “master switch” gene that determines genetic maleness has moved to a different chromosome, meaning that these species produce males without needing a Y chromosome. However, the new sex-determining chromosome – the one that SRY moves on to – should then start the process of degeneration all over again due to the same lack of recombination that doomed their previous Y chromosome.…’

Via Big Think

Posted in Uncategorized

How to build empathy with robots

Screenshot 55’Trying to see the world through someone else’s eyes is a great way to build empathy and understanding between people. Turns out, this approach – when taken literally – also works with robots. Researchers from the University of Bourgogne, University of Trento, and their colleagues used a head-mounted display to put people “inside” a robot and then studied their “likeability and closeness towards the robot.”…’

Via Boing Boing

Posted in Uncategorized

R.I.P. Art Neville, 81

 

ArtnevilleNew Orleans music legend has died.

’New Orleans music and cultural legend Art Neville, who co-founded the Meters and Neville Brothers, has died. He was 81 years old.

“Poppa Funk,” as he was known, shaped the sound of New Orleans for half a century, reports nola.com’s Keith Spera. “In the latest blow for a New Orleans music community that had already lost Dr. John and Dave Bartholomew this summer, Neville died Monday after years of declining health.”…’

Via Boing Boing

 

Posted in Uncategorized

First glacier lost to climate change is memorialized with a plaque

190722152437 iceland glacier climate change exlarge 169Yes, we are memorializing glaciers now, and no, this is not a joke:

’The demise of Okjökull, the first Icelandic glacier lost to climate change, will be memorialized with a plaque by researchers from Rice University in Houston… The monument to Okjökull glacier in Borgarfjörður, Iceland, will be installed on August 18 in a public ceremony.

Tourists scramble to avoid a wave caused by a glacier collapse
“This will be the first monument to a glacier lost to climate change anywhere in the world,” Rice University anthropologist Cymene Howe said. “By marking Ok’s [short for Okjökull] passing, we hope to draw attention to what is being lost as Earth’s glaciers expire.…’

Via CNN

Posted in Uncategorized

Godliness is Next To…?

Unknown“Everything happens for a reason”:

’This is a popular saying in the United States, often offered in the form of condolence or consolation. The adage is so vague and widespread that it never rings in my ears as a clear assertion, but rather as a desperate, threadbare defense against the obvious conclusions to be drawn from a child getting cancer or someone being struck by lightening: that absolutely nothing happens for a reason, because there are no reasons. Yes, there are certainly causes, always, but in this aphorism, “reason” is a direct substitute for “meaning.” “Everything happens for a reason” asserts a grand plan full of meaning, even if you cannot always discern it.

But of course whenever someone utters this cliché, it immediately shakes me out of whatever stupor of possible meanings I was indulging, and reminds me that there are no cosmic plans, no meanings big or small, discernable or otherwise. That there is no morality or ethics, just our fabrications of them, and that there is certainly no Master Plan through which our lives unfold like pieces on a chessboard.

And in those moments I often feel very alone, not because of the stark reality of meaninglessness, but because I am talking to someone who thoroughly embraces meaning, and am not inclined to puncture their fantasies. Why? Because if there is one of these artificial meanings that I tend to live my life by, it is the effort to avoid causing unnecessary pain. To not be cruel. To not cause someone else’s lived experience to be needlessly awful. And so when someone tells me that everything happens for a reason, I do not respond with a brief treatise on life’s ultimate meaninglessness.…’

— Akim Reinhardt, 3 Quarks Daily

Posted in Uncategorized

R.I.P. Paul Krassner

 

Ookrassnerobit1 superJumboEd Sanders, Abbie Hoffman and Krassner

Anarchist, Prankster and a Yippies Founder Dies at 87

’He was a prankster, a master of the put-on that thumbed its nose at what he saw as a stuffy and blundering political establishment.

And as much as anyone else, Paul Krassner epitomized a strain of anarchic 1960s activism — one that became identified with the Yippies as they nominated a pig for president and rained dollar bills onto the floor of the New York Stock Exchange. Along with Abbie Hoffman and Jerry Rubin and a few others, Mr. Krassner helped found that group, and he also joined Ken Kesey and the Merry Pranksters on their LSD-fueled bus trip across America.

He was the founder and editor of The Realist, among the earliest underground humor magazines, one that was known for outlandish and raunchy cartoons and iconoclastic political and social commentary. Its contributors included Norman Mailer, Jules Feiffer, Terry Southern, Joseph Heller, Mort Sahl, Edward Sorel and Robert Grossman. With some very long breaks, it endured into the 21st century.

Yet so naturally irreverent was Mr. Krassner that when People magazine labeled him the “father of the underground press,” he demanded a paternity test.…’

 

Merlin 158276136 27b3cdcb f83e 4b8d a9e7 6758671418eb superJumboMr. Krassner in 2009. He once said: “It’s strange to be 70 and still identify with a youth movement. But I’d rather identify with evolution than stagnation.”

Via The New York Times

 

Posted in Uncategorized

“The Transhumanist wishlist”

Geneticist George Church on what genes can be enhanced to give us super abilities:

’Would you improve humanity if you could? Many of us have opinions about how we can boost up society and government. But what about just re-engineering the people themselves, to make them more advanced physically and intellectually? Would better bodies lead to better people? One person who can turn such musings into reality is George Church, the Harvard genetics professor famous for trying to resurrect holly mammoths, among many other accomplishments. Church also made a list of genes that could be targeted through genetic manipulation for the purpose of designing a new version of humans.

In an interview with Futurism, the professor explained that one purpose of assembling such a list is in giving correct information to the people. It has been his long-term mission to drive down the costs of genetics resources. To that end, the list includes both protective and negative consequences of hacking a particular gene.

“I felt that both ends of the phenotype spectrum should be useful,” Church elaborated. “And the protective end might yield more powerful medicines useful for more people and hence less expensive.”

Here are some selections from the so-called Transhumanist Wishlist, drawing upon the philosophical movement of transhumanism that calls for using technology to enhance human physiology and intellect, leading to a transformation of what it means to be human:

  • LRP5 – hacking this gene could give people extra-strong bones, as research has shown a mutation of LRP5 can lead to bones that don’t break. The tweak might make it hard to swim, however, as denser bones also mean lower buoyancy.
  • MSTN – messing with the myostatin protein could result in larger, leaner muscles, and cure such diseases as muscular dystrophy.
  • FAAH-OUT – the amusingly-named FAAH-OUT gene mutation was linked to insensitivity to pain. Wouldn’t you like to have such a super ability?
  • ABCC11 – modifying this gene could really pay off socially, as it’s been linked to low odor production. Currently, only 2% of the people in the world carry the mutated version, which helps their armpits not produce any unpleasant smells.
  • PCSK9 – people who lack this gene have very low levels of cholesterol. Tweaking it could lead to fighting off coronary disease. On the other hand, the negatives could include a rise in diabetes and even reduced cognition.
  • GRIN2B – playing with this gene can lead to enhancing memory and learning abilities.
  • BDKRB2 – figuring out how to affect this gene can lead to people who can hold their breath under water for much longer. It figures prominently in the abilities of the indigenous Bajau people (“Sea Nomads”) of Southeast Asia, who are known for amazing feats of deep diving.…’

Via Big Think

An adequate discussion of gene-hacking would have to be as erudite and thoughtful about potential unintended consequences of such changes. Except for Church’s comment about increased bone density making it harder to swim, this list is notable for its absence. 

Posted in Uncategorized

Scientists develop an ‘EpiPen’ for spinal cord injuries

Unknown’Researchers from the University of Michigan recently published a paper in the Proceedings of the National Academy of Sciences that describes an incredible device capable of mitigating — and potentially preventing — spinal cord and brain injuries. “In this work,” said researcher Lonnie Shea in a statement, “we demonstrate that instead of overcoming an immune response, we can co-opt the immune response to work for us to promote the therapeutic response.” By injecting nanoparticles that reduce the body’s immune response, these researchers claim that the severity of such an injury can be significantly reduced, potentially preventing paralysis.…’

Via Big Think

Posted in Uncategorized

The snail cosmology of medieval manuscripts

D qiMScWkAAjuap’We’re no strangers to the delights of the rude drawings that monks doodled in the margins of medieval manuscripts around here, but University of Bonn medievialist Erik Wade’s epic Twitter thread on the astonishing variety of snail-doodles is genuinely next-level.

Whether it’s the snail-gods that snail-monks pray to, or the snail jousting tourneys, the lives of these molluscs was rich and complex: from the snail/human friendships to the lost art of nude snail-riding.…’

Via Boing Boing

Posted in Uncategorized

Link

“Where I came from” is ionized hydrogen and interstellar dust
The sloughed-off remains of a giant star
Radioactive sparks in sunbeam suspension

“Where I came from” is a long-lost generation of suns
Those that lived and died and scattered their own remains
Nuclear detonations of compact matter, the death spiral plunges of neutron stars

“Where I came from” is the empty depths, the far-flung glints on the cosmic ocean

“Where I came from” is an eddy in an infrared-hot protoplanetary disk

“Where I came from” is a collision of worlds so violent it tore magma from the Earth to coalesce into the Moon

“Where I came from” is the sky, the ground, the sea, the very air we breathe

“Where I came from” is the infinite

“Where I came from” is the Universe

And one day, when I am good and ready, I will go back

 

Katie Mack (via Abby)

 

 

‘Sir’ alert

UnknownThis one word is a telltale sign Trump is being dishonest:

’President Donald Trump told a dramatic story on Twitter last month.

Explaining how he decided to cancel a possible attack on Iran, he wrote, “We were cocked & loaded to retaliate last night on 3 different sights when I asked, how many will die. 150 people, sir, was the answer from a General. 10 minutes before the strike I stopped it…”

This was all so Hollywood that I would have been skeptical regardless of Trump’s choice of words. Because he included one particular word, though, I was almost certain the story was inaccurate in some way.

I’ve fact-checked every word Trump has uttered since his inauguration. I can tell you that if this President relays an anecdote in which he has someone referring to him as “sir,” then some major component of the anecdote is very likely to be wrong.

Lots of people do call Trump “sir,” of course. But the word seems to pop into his head more frequently when he is inventing or exaggerating a conversation than when he is faithfully relaying one. A “sir” is a flashing red light that he is speaking from his imagination rather than his memory.

In poker parlance, it’s a tell.…’

Via CNNPolitics

Kamala Harris slams Trump in New Hampshire visit

4DNZ4UFGOII6TD3PXDGH3KFJ5M’“I’ve prosecuted predators,” she said. “And we have a predator living in the White House. He has predatory instincts and a predatory nature.”

Harris accused President Trump of wanting to return to an era before the Civil Rights Act of 1964 and the Roe v. Wade decision, in which the US Supreme Court case found a constitutional right to abortion.

“Well, we’re not going back. We’re not going back,” she said to applause.…’

Via Boston Globe

Posted in Uncategorized

Trump tweets racist attacks at progressive congresswomen

’…Trump launched a racist Twitter attack against four Democratic congresswomen of color over the weekend, telling Alexandria Ocasio-Cortez, Rashida Tlaib, Ilhan Omar and Ayanna Pressley to “go back” to their home countries. The tweet implies that the congresswomen weren’t born in America, but they all are American citizens. Ocasio-Cortez, Tlaib and Pressley are natural-born US citizens, while Omar was born in Somalia and immigrated to the US when she was young. Telling people of color to “go back to where you came from” is a tactic often used by racists to try to silence blacks and other minorities.

The congresswomen hit back at Trump, with Ocasio-Cortez tweeting that Trump is “angry because you can’t conceive of an America that includes us.” House Speaker Nancy Pelosi and other Democrats also condemned the President. Will members of the Republican Party join the Dems in denouncing Trump’s tweet? No, says CNN’s Stephen Collinson, because most GOP voters and lawmakers are satisfied with the ideological direction of the Trump presidency and are willing to turn a blind eye to his conduct. “The President knows he can trade in such base tactics because he will pay no price in a Republican Party cowed by his fervent political base,” Collinson writes.…’

Via CNNPolitics

Why Do We Resist Knowledge?

An Interview with Åsa Wikforss:

‘Knowledge resistance is “the tendency not to accept available knowledge”, according to the mission statement of the interdisciplinary project “Knowledge Resistance: Causes, Consequences and Cures,” which was awarded a $5.6 million grant from the Swedish Foundation for Humanities and Social Sciences in October 2018. Åsa Wikforss is the project leader. A professor of theoretical philosophy at Stockholm University, she is also a newly-elected member – and the only philosopher – of the Swedish Academy, a prestigious cultural institution of 18 members appointed for life. 

In an age of misinformation both online and off, researching knowledge resistance could not be more timely. When senior politicians announce that the people have had enough of experts, it’s not long before a race to the bottom begins, where dangerous myths and misinformation can entrench themselves. 

In this interview, we discuss how knowledge resistance manifests itself in popular movements such as anti-vaxxers and climate change deniers, and how we can fight these beliefs gone viral…’

Via IAI TV

British Politicians and Former Diplomats Are Furious That Trump ‘Bullied’ Their Ambassador Out of Office

864087794’British politicians and officials have reacted with outrage to the resignation of their ambassador to the U.S. amid a rift with President Trump over leaked diplomatic cables, with many accusing the President of bullying their government.

The leak on July 7 of classified memos written by Kim Darroch to the U.K. government, in which he called the Trump Administration “inept” and “incompetent”, triggered a slew of personal insults from the President. Trump tweeted that Darroch was “a very stupid guy” and “a pompous fool.” He also disinvited him from an official dinner July 8, saying “We will no longer deal with him.”…’

Via Time

Posted in Uncategorized

‘Completely Terrifying’: Study Warns Carbon-Saturated Oceans Headed Toward Tipping Point That Could Unleash Mass Extinction Event

Ocean 6’The continuous accumulation of carbon dioxide in the planet’s oceans—which shows no sign of stopping due to humanity’s relentless consumption of fossil fuels—is likely to trigger a chemical reaction in Earth’s carbon cycle similar to those which happened just before mass extinction events, according to a new study.

MIT geophysics professor Daniel Rothman released new data on Monday showing that carbon levels today could be fast approaching a tipping point threshold that could trigger extreme ocean acidification similar to the kind that contributed to the Permian–Triassic mass extinction that occurred about 250 million years ago. 

Rothman’s new research comes two years after he predicted that a mass extinction event could take place at the end of this century. Since 2017, he has been working to understand how life on Earth might be wiped out due to increased carbon in the oceans.

“If we push the Earth system too far, then it takes over and determines its own response—past that point there will be little we can do about it.”
—Timothy Lenton, University of Exeter
Rothman created a model in which he simulated adding carbon dioxide to oceans, finding that when the gas was added to an already-stable marine environment, only temporary acidification occurred.

When he continuously pumped carbon into the oceans, however, as humans have been doing at greater and greater levels since the late 18th century, the ocean model eventually reached a threshold which triggered what MIT called “a cascade of chemical feedbacks,” or “excitation,” causing extreme acidification and worsening the warming effects of the originally-added carbon.…’

Via Common Dreams News

Posted in Uncategorized

R.I.P. João Gilberto

 

739227090Master Of Bossa Nova Dies At 88:

’João Gilberto is credited some with writing the first bossa nova, or new beat. This mid–20th century musical gift to the world drew on Brazil’s African-influenced samba tradition, but was performed without the usual battery of drums and rhythm instruments, and at much lower volumes. Gilberto’s intimate and nuanced style of guitar playing and singing, eventually central to the bossa nova sound, were reportedly developed in 1955 when he sequestered himself inside of a bathroom at his sister’s house so as not to disturb her family and to take advantage of the acoustics provided by the bathroom tiles.…’

Via WBGO

 

Posted in Uncategorized

Christchurch mosque killer’s theories seeping into mainstream, report warns

‘Researchers have found that organised far-right networks are pushing a conspiracy known as the “great replacement” theory to the extent that references to it online have doubled in four years, with more than 1.5 million on Twitter alone, a total that is rising exponentially.

The theory emerged in France in 2014 and has become a dominant concept of the extreme right, focusing on a paranoia that white people are being wiped out through migration and violence. It received increased scrutiny after featuring in the manifesto of the gunman who killed 51 people in the Christchurch attacks in New Zealand in March.

Guardian Today: the headlines, the analysis, the debate – sent direct to you
Read more
Now the Institute for Strategic Dialogue (ISD), a UK-based counter-extremist organisation, has found that the once-obscure ideology has moved into mainstream politics and is now referenced by figures including US president Donald Trump, Italian interior minister Matteo Salvini and Björn Höcke of the German Alternative für Deutschland (AfD).

Tweets from Trump earlier this year, for example, were interpreted by many as making a white nationalist case for his controversial border wall.

Despite its French origins, the ISD’s analysis has revealed that the theory is becoming more prevalent internationally, with English-speaking countries now accounting for 33% of online discussion.

Julia Ebner, co-author of the report at ISD, said: “It’s shocking to see the extent to which extreme-right concepts such as the ‘great replacement’ theory and calls for ‘remigration’ have entered mainstream political discourse and are now referenced by politicians who head states and sit in parliaments.”

She said that of the 10 most influential Twitter accounts propagating the ideology, eight were French. The other two were Trump’s account and the extreme-right site Defend Europa…’

— Read on The Guardian

What does it mean to call a book ‘unfilmable’?

1082Books by authors like Neil Gaiman and Gabriel García Márquez have been dismissed as too difficult to adapt. With Netflix offering both time and cash, is that true anymore?:

’It’s remarkable how many “unfilmable” books have been, well, filmed. With this week’s news that Neil Gaiman’s sprawling comic-book series The Sandman has been acquired by Netflix, fans have been excited, if tentative, no doubt remembering the long history of attempts to adapt the 75-issue story that was often dismissed as too difficult to get on screen.

As Gaiman once said: “I’d rather see no Sandman movie made than a bad Sandman movie.” Multiple scripts were written throughout the 1990s, there was a TV show in 2010, a film in 2013, an attempted rewrite of that film in 2016 – but none of this means that Netflix’s latest literary project is doomed to fail.

For “unfilmable” is often just code for “we tried and it didn’t happen”, an excuse for all the films trapped in development hell, such as John Milton’s Paradise Lost (Bradley Cooper was once lined up to play a hunky Lucifer), and the long-awaited adaptation of Cormac McCarthy’s Blood Meridian. “Unfilmable” can also mean “we tried and did a terrible job”. Stephen King’s Dark Tower series is not unfilmable, but the 2017 take starring Idris Elba and Matthew McConaughey might make you wish it was. Or the maddening works of William Faulkner, most recently put on screen by actor James Franco, who took time off from insisting he can write novels to ruin someone else’s by directing, adapting and starring in As I Lay Dying in 2013 and The Sound and the Fury in 2015. Or Ayn Rand’s Atlas Shrugged: three films and three terrible decisions came in 2016 when reviews for part one (“sits there flapping on screen like a bludgeoned seal” declared Rolling Stone) did nothing to dissuade the great minds behind it, who turned their backs on the free-market to supply two sequels in the face of no demand. (Part two: “The film’s excruciating unwatchability transcends politics”; part three: “Cut-rate to the point of incoherence.”) And unfilmable can even apply to books that prove to be brilliant on camera: the new TV show of Joseph Heller’s Catch–22, the Wachowski sisters’ take on David Mitchell’s Cloud Atlas, Paul Thomas Anderson’s 2015 film of Thomas Pynchon’s Inherent Vice.…’

Via The Guardian

Posted in Uncategorized

Enormous 5,500-Mile-Long Patch of Atlantic Seaweed Might Be the ‘New Normal’

Rrbzzafod2pwgtvdzgxp’Scientists in Florida have detected the largest seaweed bloom in the world. Extending from the Gulf of Mexico to the African coast, the unusually large bloom is threatening marine life and coastal regions, with the researchers warning it’s likely a sign of things to come.

New research published today in Science describes the Great Atlantic Sargassum Belt (GASB)—the largest single expanse of macroalgae in the world. The enormous belt of seaweed is composed of floating, photosynthetic brown algae, called Sargassum. The authors of the new study, led by Chuanmin Hu from the College of Marine Science at the University of South Florida, attributed the unusually large bloom to both human-causes and natural processes, saying such “recurrent blooms may become the new normal.”…’

Via Gizmodo

Posted in Uncategorized

Why aren’t Americans more outraged by all that’s happening?

’Where is the sustained outrage? Why aren’t there constant protests all over the country with each new abomination that comes to light? In short, why aren’t we doing more about all of this?
To be clear, when I say “we,” I’m not talking about those who are unfazed by these developments or inexplicably think it’s all okay. I’m talking about the millions of Americans who find all of it abhorrent and despicable and yet just go on living their lives…’

Via Medium

And:

Is America Too Dumb for Democracy?

Unknown’Our nation’s massive ignorance and lack of curiosity have led us into crisis. Are we smart enough to survive it?…’

Via Salon

NRA meltdown has Trump campaign sweating

‘In recent weeks, the NRA has seen everything from a failed coup attempt to the departure of its longtime political architect to embarrassing tales of self-dealing by top leaders. The turmoil is fueling fears that the organization will be profoundly diminished heading into the election, leaving the Republican Party with a gaping hole in its political machinery….’

Via POLITICO

The collapse of the NRA would be good enough news to counteract the collapse of MAD Magazine…

Why America’s fascists are winning

‘It’s almost exactly a year ago, to the day, that I got a little angry, and wrote an essay called “Do Americans Understand They’re Beginning to Commit the Legal Definition of Genocide?” The point of my essay, though, wasn’t just to point out that the unthinkable was happening here: it was to warn that even worse was to come, unless that much was taken lethally seriously. So where are we now — exactly a year later? Are we doing any better — or are we doing worse?…’

Via Medium

MRI performed on single atoms

1 1 worldssmalle’Researchers at the Center for Quantum Nanoscience (QNS) within the Institute for Basic Science (IBS) at Ewha Womans University have made a major scientific breakthrough by performing the world’s smallest magnetic resonance imaging (MRI). In an international collaboration with colleagues from the U.S., QNS scientists used their new technique to visualize the magnetic field of single atoms.…’

Via Phys.org

Posted in Uncategorized

R.I.P. Gary Duncan (1946-2019)

Driving Force Behind Quicksilver Messenger Service Dies at 72:

Merlin 157350675 0ba6199b a2bb 4c45 8bb2 ed02781e6a7f superJumbo’Mr. Duncan’s jazz-rooted improvisations and his intricate interplay with the guitarist John Cipollina were crucial elements in Quicksilver Messenger Service’s eclectic chemistry. Although Mr. Cipollina, who died in 1989, was nominally the lead guitarist and Mr. Duncan played rhythm, they constantly traded and blurred those roles.

David Freiberg, the band’s original bassist, called Mr. Duncan Quicksilver’s “engine.” “He was what was holding the band together,” Mr. Freiberg said in an interview. “If he was there, it would work. If he wasn’t, it wouldn’t.”…’
Via The New York Times

In their heyday prior to getting more poppy in the ’70’s, Quicksilver was the hidden gem in the San Francisco psychedelic holy trinity along with the better-known and longer-lived Grateful Dead and Jefferson Airplane. I have always been wistful that I never got to see them perform their intricate ‘snake music’ live (they were not at Woodstock, unlike the Dead and the Airplane). I could listen to the ecstatic sinuous interweave between Cipollina and Duncan forever. My commute to work lasts almost exactly long enough to play the “Who Do You Love?” suite from “Happy Trails” start to finish.

Calling the cops on someone with mental illness can go terribly wrong.

UnknownHere’s a better idea:

’We’ve seen it happen too many times. A person calls 911 to report a disturbance next door or out in the street. The police show up. Things go awry and the police shoot the person at the center of the disturbance — and it turns out that the person had a mental health issue.

According to the Treatment Advocacy Center, a Virginia-based nonprofit working to improve access to mental health treatment, at least one in four people killed by the police in the US has a serious mental health problem. Stories of these police killings have been in the headlines over the past few months, with anguished family members decrying officers’ violence toward their loved ones.

There’s got to be a better way to handle 911 calls.

Some people say there is: Instead of sending police to deal with non-criminal emergencies, why not send mental health experts?…’

Via Vox

Posted in Uncategorized

How can you tell if another person, animal or thing is conscious? Try these 3 tests

UnknownTam Hunt, UC Santa Barbara:

’How can you know that any animal, other human beings, or anything that seems conscious, isn’t just faking it? Does it enjoy an internal subjective experience, complete with sensations and emotions like hunger, joy, or sadness? After all, the only consciousness you can know with certainty is your own. Everything else is inference. The nature of consciousness makes it by necessity a wholly private affair.

These questions are more than philosophical. As intelligent digital assistants, self-driving cars and other robots start to proliferate, are these AIs actually conscious or just seem like it? Or what about patients in comas – how can doctors know with any certainty what kind of consciousness is or is not present, and prescribe treatment accordingly?

In my work, often with with psychologist Jonathan Schooler at the University of California, Santa Barbara, we’re developing a framework for thinking about the many different ways to possibly test for the presence of consciousness.…’

Via The Conversation

Posted in Uncategorized

80-Year Quest to Create Metallic Hydrogen May Finally Be Complete

Unknown’Physicist Eugene Paul Wigner predicted more than 80 years ago that hydrogen, the most abundant element in the universe, could turn into an electricity-conducting solid metal at the right temperature and pressure. Scientists have spent decades since attempting to synthesize this material—and may have finally done so.

A team of researchers in France has posted a paper on the arXiv physics preprint server describing their observation of metallic hydrogen under pressures greater than those inside Earth’s core. Several times, other researchers have claimed to discover this phase of matter, claims that are generally met with varying levels of skepticism. But some experts think that this newest claim could be the real deal.

Metallic hydrogen is exactly what it sounds like—a state of the element hydrogen where it has the properties of a metal. The substance should “indisputably” exist, according to the new paper, thanks to something called quantum confinement: restrict electrons’ motion enough, and the electronic and optical properties of the material change thanks to the rules of quantum mechanics. At high enough pressures, any insulator should become a conductive metal, according to the paper; oxygen becomes a metal at 100 GPa, around a million times the pressure of Earth’s air at sea level, for example.

The discovery of metallic hydrogen would be exciting for a few reasons. Of course, it would prove experimentally that the material existed. It might transmit electricity without heating up, meaning it would be a superconductor, perhaps even a room-temperature superconductor. That’s another long-sought goal of physicists and could revolutionize electronics. Further, such a metal might fill the centers of massive planets like Jupiter, so being able to create it here on Earth could help us learn more about those planets.…’

Via Gizmodo

Posted in Uncategorized